WGµç×Ó¹ÙÍø

ΪÁ˸üºÃµÄä¯ÀÀЧ¹û£¬£¬£¬£¬£¬£¬£¬£¬½¨ÒéʹÓÃChromeä¯ÀÀÆ÷Éó²é¡£¡£¡£¡£¡£¡£¡£¡£

ÖªµÀÁË

¿ÆÑÐЧ¹ûËٵݣüWGµç×Ó¹ÙÍøÇ°ÑØ¿ÆÑÐЧ¹ûÂÛÖ¤ÑàÎѶÔÂѳ²ÔçË¥µÄ×÷ÓÃ

2024-06-19
        ¿ËÈÕ£¬£¬£¬£¬£¬£¬£¬£¬WGµç×Ó¹ÙÍøÔÚʳÎï¿ÆÑ§ÁìÓòÈ¡µÃÁËÖØ´óÍ»ÆÆ£¬£¬£¬£¬£¬£¬£¬£¬Æä¿ªÕ¹µÄÒ»ÏîÌâΪ“Edible bird's nest improves the premature ovarian failure induced by tripterygium glycosides”µÄÑо¿Ð§¹û±»Ê³Îï¿ÆÑ§ÁìÓò¹ú¼Ê×ÅÃûSCIÊÕ¼ÆÚ¿¯¡¶Food Science & Nutrition¡·ÕýʽÊÕ¼¡£¡£¡£¡£¡£¡£¡£¡£¿£¿£¿£¿£¿£¿£¿£¿ÆÑ§Ñо¿Åú×¢£¬£¬£¬£¬£¬£¬£¬£¬ÑàÎѶÔÃâÒßÖÆ¼ÁÀ×¹«ÌÙ¶àÜÕÓÕµ¼µÄÂѳ²ÔçË¥ÓÐÒ»¶¨µÄÔ¤·ÀºÍÖÎÁÆ×÷Óᣡ£¡£¡£¡£¡£¡£¡£Æä×÷ÓûúÖÆ¿ÉÄÜÓëïÔÌ­Âѳ²¿ÅÁ£Ï¸°ûµòÍö¡¢µ÷Àí¼¤ËØºÍÊÜÌå¡¢ÒÖÖÆÂÑÅݱպÏÓйØ¡£¡£¡£¡£¡£¡£¡£¡£
 

WGµç×Ó(ÖйúÇø)-¹Ù·½ÍøÕ¾WGµç×Ó(ÖйúÇø)-¹Ù·½ÍøÕ¾
ͼ£ºWGµç×Ó¹ÙÍøÑàÎÑÑо¿ÔºÑо¿ÂÛÎı»¹ú¼ÊȨÍþSCIÊÕ¼ÆÚ¿¯
¡¶Food Science & Nutrition¡·ÊÕ¼ºÍ½ÒÏþ

 
       Âѳ²ÔçË¥ÊÇָŮÐÔ40ËêÒÔǰ£¬£¬£¬£¬£¬£¬£¬£¬ÓÉÓÚÂѳ²ÄÚÂÑÅݺĽ߻òÒ½Ô´ÐÔËðÉË£¬£¬£¬£¬£¬£¬£¬£¬µ¼ÖµÄÂѳ²¹¦Ð§Ë¥ÍË¡£¡£¡£¡£¡£¡£¡£¡£Æä¾öÒéÐÔÌØÕ÷ÊÇѪÇå´Æ¼¤ËØË®Æ½µÍ¡¢´ÙÐÔÏÙ¼¤ËØË®Æ½Éý¸ß£¬£¬£¬£¬£¬£¬£¬£¬´Ó¶øµ¼Ö±վ­¡¢²»ÔеÈÖ¢×´(Ebrahimi & Asbagh, 2011; Wesevich et al., 2020)¡£¡£¡£¡£¡£¡£¡£¡£ÔÚ¸¾¿ÆÄÚÉøÍ¸Ñ§ÁìÓò£¬£¬£¬£¬£¬£¬£¬£¬ÕâÊÇÒ»ÖÖÆÕ±éµÄ¼²²¡£¬£¬£¬£¬£¬£¬£¬£¬Òò»¼²¡ÂÊÖðÄêÉÏÉý£¬£¬£¬£¬£¬£¬£¬£¬ÒýÆðÁËҽѧ½çµÄ¹Ø×¢¡£¡£¡£¡£¡£¡£¡£¡£
 
       ÑàÎÑËØÓГ¶«·½Õ鯷”Ö®ÃÀÓþ£¬£¬£¬£¬£¬£¬£¬£¬ÊÇÒ»ÖÖ×ÔÈ»²¹Æ·£¬£¬£¬£¬£¬£¬£¬£¬ÓªÑø¼ÛÖµ¸ß¡£¡£¡£¡£¡£¡£¡£¡£WGµç×Ó¹ÙÍø¿ÆÑÐÍŶÓÍŽáÖÐɽ´óѧ½¯ÁÖ²©Ê¿×ÅÊÖ¿ªÕ¹ÑàÎÑÔÚ¸ÄÉÆÂѳ²ÔçË¥ÖеÄ×÷ÓõÄÑо¿¡£¡£¡£¡£¡£¡£¡£¡£ÔÚ¸ÃÏîÄ¿ÖУ¬£¬£¬£¬£¬£¬£¬£¬Ñо¿Ö°Ô±½¨ÉèÁËÀ×¹«ÌÙ¶àÜÕÓÕµ¼µÄÂѳ²Ôç˥ģ×Ó¡£¡£¡£¡£¡£¡£¡£¡£ÔÚʵÑéÌõ¼þÏ£¬£¬£¬£¬£¬£¬£¬£¬ÑàÎÑÏÔÖøÌá¸ßÁË»úÌåÂѳ²Ö¸Êý¡¢»ÆÌåͪºÍ´Æ¶þ´¼Ë®Æ½¡£¡£¡£¡£¡£¡£¡£¡£±ðµÄ£¬£¬£¬£¬£¬£¬£¬£¬ÑàÎÑ»¹´Ùʹ»úÌåÂѳ²¿ÅÁ£²ãºñ¶ÈºÍ»ÆÌåÊýÄ¿µÄÔöÌí£¬£¬£¬£¬£¬£¬£¬£¬Í¬Ê±ïÔÌ­Á˱ÕËøÂÑÅݵÄÊýÄ¿¡¢¿ÅÁ£Ï¸°ûµòÍöÂÊ¡¢´ÙÂÑÅݼ¤ËغͻÆÌåÌìÉúËØË®Æ½¡£¡£¡£¡£¡£¡£¡£¡£ÊµÑéÅú×¢£¬£¬£¬£¬£¬£¬£¬£¬ÑàÎѶÔÀ×¹«ÌÙ¶àÜÕÓÕµ¼µÄÂѳ²ÔçË¥¾ßÓÐÔ¤·ÀºÍÖÎÁƵÄЧ¹û¡£¡£¡£¡£¡£¡£¡£¡£
 

WGµç×Ó(ÖйúÇø)-¹Ù·½ÍøÕ¾
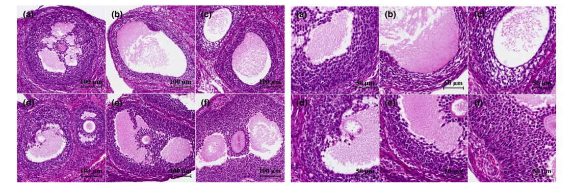
ͼ£ºÑàÎѶÔÂѳ²ÔçË¥×éÖ¯²¡ÀíѧӰÏì¡£¡£¡£¡£¡£¡£¡£¡£(a)Õý³£±ÈÕÕ×飬£¬£¬£¬£¬£¬£¬£¬(b)Ä£×Ó±ÈÕÕ×飬£¬£¬£¬£¬£¬£¬£¬
(c) ÑàÎѵͼÁÁ¿×飬£¬£¬£¬£¬£¬£¬£¬(d) ÑàÎÑÖмÁÁ¿×飬£¬£¬£¬£¬£¬£¬£¬(e) ÑàÎѸ߼ÁÁ¿×飬£¬£¬£¬£¬£¬£¬£¬(f)ÑôÐÔ±ÈÕÕ×é¡£¡£¡£¡£¡£¡£¡£¡£ 

 
       ±¾Ñо¿²»µ«ÖÜÈ«ÐðÊöÑàÎѶÔÀ×¹«ÌÙ¶àÜÕÓÕµ¼µÄÂѳ²ÔçË¥¾ßÓÐÔ¤·ÀºÍ¸ÄÉÆ×÷Ó㬣¬£¬£¬£¬£¬£¬£¬»¹½øÒ»²½´ÓÂѰױí´ïµÄ½Ç¶È¾ÙÐÐÁË̽ÌÖ¡£¡£¡£¡£¡£¡£¡£¡£Ð§¹ûÏÔʾ£¬£¬£¬£¬£¬£¬£¬£¬ÑàÎÑ¿ÉÄÜÓÐÖúÓÚÔöÌíÂѳ²FSHRÂѰ׵ıí´ïˮƽ£¬£¬£¬£¬£¬£¬£¬£¬´Ó¶øµÖ´ïÔ¤·ÀºÍ¸ÄÉÆÂѳ²ÔçË¥µÄ×÷Ó㬣¬£¬£¬£¬£¬£¬£¬Õ⽫ÓÐÖúÓÚÉîÈëÏàʶÂѳ²ÔçË¥µÄ·¢²¡»úÖÆ£¬£¬£¬£¬£¬£¬£¬£¬²¢ÎªÎ´À´ÖÎÁÆÌṩ¿ÆÑ§ÒÀ¾Ý¡£¡£¡£¡£¡£¡£¡£¡£±ðµÄ£¬£¬£¬£¬£¬£¬£¬£¬±¾Ñо¿Ò²ÎªÑàÎѵÄÓªÑø¼ÛÖµ¾ò¿ÍÌṩÁËеÄÊӽǣ¬£¬£¬£¬£¬£¬£¬£¬ÎªÑàÎѹ¤ÒµµÄ¸ßÖÊÁ¿Éú³¤ÌṩѧÊõÓëÊÖÒÕÖ§³Ö¡£¡£¡£¡£¡£¡£¡£¡£
 

WGµç×Ó(ÖйúÇø)-¹Ù·½ÍøÕ¾
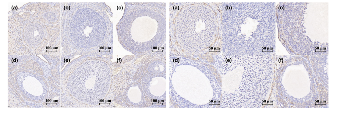
ͼ£ºÑàÎѶÔÂѳ²ÔçË¥FSHRÂѰױí´ïµÄÓ°Ïì (a)Õý³£±ÈÕÕ×飬£¬£¬£¬£¬£¬£¬£¬(b)Ä£×Ó±ÈÕÕ×飬£¬£¬£¬£¬£¬£¬£¬
(c) ÑàÎѵͼÁÁ¿×飬£¬£¬£¬£¬£¬£¬£¬(d)ÑàÎÑÖмÁÁ¿×飬£¬£¬£¬£¬£¬£¬£¬(e) ÑàÎѸ߼ÁÁ¿×飬£¬£¬£¬£¬£¬£¬£¬(f)ÑôÐÔ±ÈÕÕ×é¡£¡£¡£¡£¡£¡£¡£¡£ 

 
        WGµç×Ó¹ÙÍøÔÙÌí¿ÆÑÐЧ¹û£¬£¬£¬£¬£¬£¬£¬£¬ÓëÆä¾«²ÊµÄÊÖÒÕˮƽ¡¢Á¢ÒìÄÜÁ¦Ãܲ»¿É·Ö¡£¡£¡£¡£¡£¡£¡£¡£Ò»Ö±ÒÔÀ´£¬£¬£¬£¬£¬£¬£¬£¬WGµç×Ó¹ÙÍø±ü³Ö“Ô´ÓÚ×ÔÈ»£¬£¬£¬£¬£¬£¬£¬£¬ÃÀÓ뿵½¡”µÄÀíÄ£¬£¬£¬£¬£¬£¬£¬×Ô½¨WGµç×Ó¹ÙÍøÑàÎÑÑо¿Ôº£¬£¬£¬£¬£¬£¬£¬£¬º»Êµ»ù´¡£¬£¬£¬£¬£¬£¬£¬£¬ÊØÕýÁ¢Ò죬£¬£¬£¬£¬£¬£¬£¬Ò»Ö±ÍÚ¾òÑàÎÑÓªÑø¹¦Ð§£¬£¬£¬£¬£¬£¬£¬£¬ÎªÐÐÒµ¸ßÖÊÁ¿Éú³¤Ï×ÖÇÏ×Á¦¡£¡£¡£¡£¡£¡£¡£¡£2023Ä꣬£¬£¬£¬£¬£¬£¬£¬WGµç×Ó¹ÙÍø¹ØÓÚ“Effect of edible bird’s nest and N-acetylneuraminic acid on gut microbiota in different stages of pregnant rats fed with zinc deficient diet”µÄÑо¿Ð§¹û±»Ê³Îï¿ÆÑ§ÁìÓò¹ú¼Ê×ÅÃûSCIÆÚ¿¯¡¶Food Bioscience¡·ÊÕ¼£» £» £»£»£»£»£»2023Ä꣬£¬£¬£¬£¬£¬£¬£¬WGµç×Ó¹ÙÍøÑàÎÑÑо¿ÔºÍ¨¹ýÌåÍâÉú»¯¡¢Ï¸°û¡¢ÉúÎïÈýάÁ¢Ìå֤ʵÁËÑàÎÑëĵĿ¹ÐàÂõ¹¦Ð§£¬£¬£¬£¬£¬£¬£¬£¬²¢ÔÚ¹ú¼ÊȨÍþÆÚ¿¯¡¶Journal of Functional Foods¡·½ÒÏþÁËÑàÎÑëÄ¿¹Ë¥Ñо¿“Study of the antiaging effects of bird's nest peptide based on biochemical, cellular, and animal models”£¬£¬£¬£¬£¬£¬£¬£¬Õ¹ÏÖÑàÎÑëÄ¿¹ÐàÂõ¹¦Ð§£¬£¬£¬£¬£¬£¬£¬£¬½øÒ»²½ÕÃÏÔWGµç×Ó¹ÙÍø¿ÆÑÐʵÁ¦¡£¡£¡£¡£¡£¡£¡£¡£
 

WGµç×Ó(ÖйúÇø)-¹Ù·½ÍøÕ¾
ͼ£ºWGµç×Ó¹ÙÍø“Study of the antiaging effects of bird's nest peptide based
on biochemical,cellular, and animal models”ÔÚ¹ú¼ÊȨÍþSCIÊÕ¼ÆÚ¿¯
¡¶Journal of Functional Foods¡·ÊÕ¼ºÍ½ÒÏþ 

 
       ×èÖ¹ÖÁ2024Äê6ÔÂ5ÈÕ£¬£¬£¬£¬£¬£¬£¬£¬WGµç×Ó¹ÙÍøÓµÓк£ÄÚÍâÊÚȨÓÐÓÃרÀû141ÏîרÀû£¬£¬£¬£¬£¬£¬£¬£¬ÆäÖз¢Ã÷רÀû23Ï£¬£¬£¬£¬£¬£¬£¬ÊÊÓÃÐÂÐÍרÀû63Ï£¬£¬£¬£¬£¬£¬£¬Íâ¹ÛÉè¼Æ×¨Àû55Ïî¡£¡£¡£¡£¡£¡£¡£¡£Ñо¿Ôº½ÒÏþÂÛÎÄ53ƪ£¬£¬£¬£¬£¬£¬£¬£¬ÆäÖÐSCIÂÛÎÄ16ƪ£¬£¬£¬£¬£¬£¬£¬£¬×¨Öø2²¿¡£¡£¡£¡£¡£¡£¡£¡£¾­×ÅÃû×Éѯ»ú¹¹¸¥ÈôË¹ÌØÉ³ÀûÎÄÓÐÏÞ¹«Ë¾ÈÏÖ¤£¬£¬£¬£¬£¬£¬£¬£¬×èÖ¹2023Äê12Ô£¬£¬£¬£¬£¬£¬£¬£¬WGµç×Ó¹ÙÍøÔÚÈ«ÇòÑàÎÑÐÐҵרÀû×ÜÊýÄ¿µÚÒ»¡¢×ÔÖ÷·¢Ã÷רÀûÊýÄ¿µÚÒ»¡£¡£¡£¡£¡£¡£¡£¡£2022Ä꣬£¬£¬£¬£¬£¬£¬£¬WGµç×Ó¹ÙÍø»ñÆÀÏÃÃÅÊГר¾«ÌØÐ”ÖÐСÆóÒµÈ϶¨£¬£¬£¬£¬£¬£¬£¬£¬²¢¾­Óɸ£½¨Ê¡¹¤ÐÅÌü¶ÔWGµç×Ó¹ÙÍøÑàÎÑÑо¿ÔºÊÖÒÕʵÁ¦ÆÀ¶¨£¬£¬£¬£¬£¬£¬£¬£¬ÀֳɻñÅú“µÚÈýÊ®¶þÅúÊ¡ÆóÒµÊÖÒÕÖÐÐÄ”³Æºô£» £» £»£»£»£»£»2023Ä꣬£¬£¬£¬£¬£¬£¬£¬WGµç×Ó¹ÙÍøÈÙ»ñ“¹ú¼Ò֪ʶ²úȨÓÅÊÆÆóÒµ”³Æºô£¬£¬£¬£¬£¬£¬£¬£¬³ä·ÖÕÃÏÔÁËWGµç×Ó¹ÙÍø×ÔÖ÷֪ʶ²úȨµÄ×ÛºÏʵÁ¦£» £» £»£»£»£»£»¿ËÈÕ£¬£¬£¬£¬£¬£¬£¬£¬WGµç×Ó¹ÙÍøÈÙ»ñ“¹ú¼ÒʳÎïÆóÒµÖÊÁ¿Çå¾²¼ì²âÊÖÒÕÊ÷Ä£ÖÐÐÄ£¨ÎÞÎý£©·ÖÖÐÐÄ”ÊÚÅÆ£¬£¬£¬£¬£¬£¬£¬£¬ÎªWGµç×Ó¹ÙÍøÒ»Á¬¿ªÕ¹¿ÆÑÐÊÂÇé×¢ÈëÐµĶ¯Á¦¡£¡£¡£¡£¡£¡£¡£¡£
 

WGµç×Ó(ÖйúÇø)-¹Ù·½ÍøÕ¾WGµç×Ó(ÖйúÇø)-¹Ù·½ÍøÕ¾
ͼ£º×èÖ¹2023Äê12Ô£¬£¬£¬£¬£¬£¬£¬£¬WGµç×Ó¹ÙÍøÔÚÈ«ÇòÑàÎÑÐÐҵרÀû×ÜÊýÄ¿µÚÒ»¡¢×ÔÖ÷·¢Ã÷רÀûÊýÄ¿µÚÒ»

WGµç×Ó(ÖйúÇø)-¹Ù·½ÍøÕ¾
ͼ£ºWGµç×Ó¹ÙÍøÈÙ»ñ“¹ú¼Ò֪ʶ²úȨÓÅÊÆÆóÒµ”³Æºô 

 
       WGµç×Ó¹ÙÍø“Edible bird's nest improves the premature ovarian failure induced by tripterygium glycosides”¿ÆÑÐЧ¹û±»Ê³Îï¿ÆÑ§ÁìÓò¹ú¼Ê×ÅÃûSCIÊÕ¼ÆÚ¿¯¡¶Food Science & Nutrition ¡·ËùÊÕ¼ºÍ½ÒÏþ£¬£¬£¬£¬£¬£¬£¬£¬ÊÇWGµç×Ó¹ÙÍøÔÚ¿ÆÑÐÁìÓòµÄ׿ԽÌåÏÖ£¬£¬£¬£¬£¬£¬£¬£¬Í¹ÏÔÁËWGµç×Ó¹ÙÍøÔÚʳÎï¿ÆÑ§ÁìÓòµÄÉîÖ¿»ýµí¡£¡£¡£¡£¡£¡£¡£¡£WGµç×Ó¹ÙÍø½«Ò»Á¬ÔöÇ¿Ñз¢¡¢Á¢ÒìÄÜÁ¦£¬£¬£¬£¬£¬£¬£¬£¬ÉîÈëÍÚ¾òʳÎï¿ÆÑ§Ç±Á¦£¬£¬£¬£¬£¬£¬£¬£¬ÌáÉýÆóÒµ½¹µã¾ºÕùÁ¦£¬£¬£¬£¬£¬£¬£¬£¬ÒÔÆÚÔڿƼ¼Á¢ÒìÁìÓòÈ¡µÃ¸ü´óÍ»ÆÆ¡£¡£¡£¡£¡£¡£¡£¡£
¡¾ÍøÕ¾µØÍ¼¡¿¡¾sitemap¡¿